Orthodontics – Treatment for Children and Adults
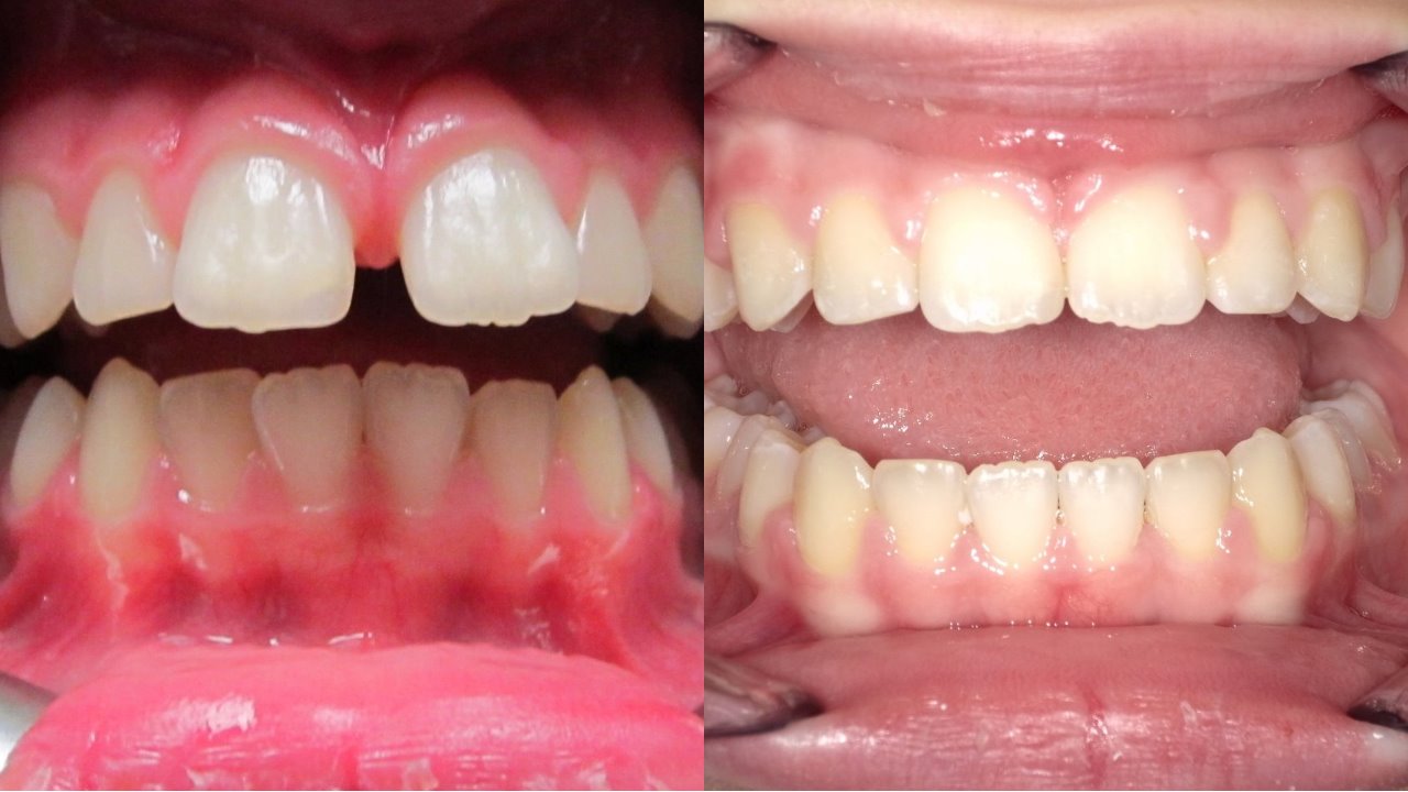
Orthodontic treatment is used for both children and adults to correct problems of excessive space between teeth and crooked or crowded teeth. This therapy is also used to correct overbites, underbites and crossbites.
In addition to the traditional metal wired braces, Picton Dental Centre also offers SureSmile Clear Aligners.
Call us today to schedule a consultation with Dr. Sandhu to determine if you are a candidate for clear aligners; and if not, a referral to our on-site certified orthodontist, Dr. Engel, can be made.
